Thursday, March 23, 2017

Iclone 6 animation

We have a steep learning curve ahead of us with learning a new programme
Its called Iclone 6 - we have used the older version but this is all new and about 4 versions newer so ...

here are 2 animations we used for MVTV - Mr Gover is going to teach a small group of people how to start using it next week again...


and this one for the MVTV intro....





Tuesday, March 7, 2017

Brief from Dr Amanda for the 3D print design

Here is the brief the children had to work to from Dr Amanda




Test tube rack Design Brief
Test tube rack to hold one small and one large diameter test tube, for a hospital laboratory. The   surface should be smooth and easy to clean, and resistant to ethanol and acetone. The rack should be sufficiently heavy to resist being knocked over, and sturdy enough to survive being dropped on the floor.
The purpose of this test tube rack is to provide a hands free method of  holding the tube upright. There are two important reasons:

1.        To enable laboratory staff to fill the tube with liquid expelled from a syringe. Two hands are needed when operating a syringe.

2.       Not holding the test tube with a hand, reduces the risk of accidental needle stick injury to the laboratory staff when filling the test tube from a syringe with a needle.

Background: The types of specimens collected in these test tubes is material sucked out of patients lumps, with a needle and a syringe. A cytology scientist prepares the liquid specimens into glass slides. I am a medical doctor trained as a Pathologist. I work in a hospital laboratory. I examine the patient’s lump, suck out some fluid with a needle and syringe,  collect the specimen in the test tube, and  look down the microscope to make the diagnosis. The diagnosis is the explanation as to what is causing the lump, examples are cancer or infection.




The laboratory scientist is expelling liquid from a pipette into the test tube. This larger rack holds up to 8 test tubes, and is used on the laboratory bench. We need a smaller test tube rack to take out when collecting samples from patients. The smaller rack is what you are designing.  In a hospital laboratory we wear gloves to prevent contact with infectious material and chemicals. These purple gloves are resistant to acetone.






This is Dr Low, she is a Pathologist, she is looking down the microscope at a glass slide, to make a diagnosis. She is in charge of Cytology specimens, which is the area we need the test tube rack.




   




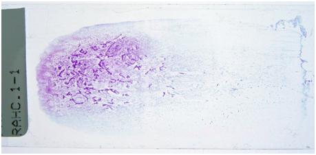
On the top is a glass slide with cells, stained purple so we can see them. Below it is what the cells look like down the microscope, the magnification is 400x what you can see with your eye.



This is me, Amanda Charlton, I work in this office in the Histology Department of Middlemore Hospital in Auckland. I use a microscope to look at samples, and I voice dictate my diagnostic reports onto the computer. See the microscope has an extra arm to the left side, this is to allow a second person to look down and see the same thing I am seeing. This is called a double header microscope, and it is used for teaching young doctors to be pathologists. 



Sunday, March 5, 2017

3rd Print !

We have got our 3rd print and are happy with it. We have sent it back to Dr Amanda for her to look at so we made a video of what we had done so far. Hopefully she can provide us with a bit of feedback too


First attempt

You know what they say for the first attempt - well that happened to us - basically the filament got stuck so we came back in and it was printing in mid air - so out that came !!!

We have a video about it on MVTV




Authentic Learning

After a discussion with our neighbour at home we have got an authentic reason for designing a prototype for Dr Amanda.
She works  at Auckland Hospital and needs a holder for her test tubes.

They have very specific requirements so we got a team of students together who want to design something for her.

We are waiting for a design brief so we can start

Term 1 2017 - A TRAILER of MY LIFE

We are all creating a 2-3 minute "Trailer" of MY LIFE (so far)

We have content that includes everything that makes us - who we are - family, friends, food, movies, people we admire....

any thing or anybody who has helped shape us to who we are today...

We have 5 weeks to complete this and then show the class - it wont make it to the web but they will go onto our learning blog for other family members to view